backup og meta

គ្រូពេទ្យជួរមុខនៅពេទ្យខ្មែរសូវៀត ផ្តាំកុំឲ្យចេញក្រៅចម្លងកូវីដមកចាស់ៗ ឈានដល់ស្លាប់

ខណៈ​វីរុសកូវីដ ១៩ បម្លែង​ថ្មី កំពុង​វាយ​លុក​សួត​អ្នក​ជំងឺ​កូវីដ ១៩ ធ្វើ​ឲ្យ​មាន​ការ​ស្លាប់​ជា​បន្ត​បន្ទាប់​នោះ គ្រូពេទ្យ​ជួរមុខ នៃ​មន្ទីរពេទ្យ​មិត្តភាព​ខ្មែរ-សូវៀត វេជ្ជបណ្ឌិត សៀង ប៊ុនថន បានផ្ញើសារ​ដល់​បង​ប្អូនដែល​មាន​ឪពុក​ម្តាយ​ចាស់ៗ ឬ​មាន​ជំងឺ​រ៉ាំរ៉ៃ​គួរ​តែ​ប្រុង​ប្រយ័ត្ន ហើយ​បើ​ចេញ​ក្រៅ​អាច​យក​មេរោគ​ចូល​ផ្ទះ​វិញ​ទៅ​ចម្លង​ដល់​ចាស់ ហើយ​ឈាន​ទៅ​ដល់​ការ​បាត់បង់​ជីវិត នឹង​មាន​វិប្បដិសារី​ជាក់​ជា​មិន​ខាន។

គ្រូពេទ្យជួរមុខនៅពេទ្យខ្មែរសូវៀត ផ្តាំកុំឲ្យចេញក្រៅចម្លងកូវីដមកចាស់ៗ ឈានដល់ស្លាប់

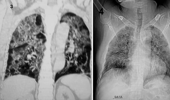
លោក​វេជ្ជបណ្ឌិត​រូប​នេះ​បន្ត​ថា មេរោគ​បម្លែង​ខ្លួន​ថ្មី​នេះ​កំពុង​វាយ​លុក​សួត​ខ្លាំងក្លា​បំផុត ដែល​យើង​ហៅ​ថា រលាក​សួត​ស្រួច​ស្រាល់។ ជំងឺ​រលាក​សួត​ស្រួចស្រាល់​ជា​ការ​រលាក​សាច់​សួត​លឿន​បំផុត​ដែល​បង្ក​ឲ្យ​មាន​ការ​ថយ​ចុះ នៃ​ការ​ប្តូរ​អុកស៊ីសែន​ក្នុង​សួត ហើយ​ឈាន​ទៅ​ដល់​កង្វះ​អុកស៊ីសែន​នៅ​ក្នុង​ឈាម និង​កង្វះ​អុកស៊ីសែន​ទៅ​ចិញ្ចឹម​សិរីរាង្គ​ផ្សេងៗ​ទៀត​ក្នុង​ខ្លួន​មនុស្ស។ ដូច្នេះ​ហើយ​ភាគ​ច្រើន​បាន​ជា​អ្នក​ជំងឺ​ឆ្លង​វីរុស​កូវីដ ១៩ អាច​ប្រឈម​នឹង​ការ​ស្លាប់​ ចំពោះ​ជំងឺ​មាន​អាយុ​ច្រើន ប្រពន្ធ័​ភាពស៊ាំ​ខ្សោយ និង​មាន​ជំងឺ​រ៉ាំរ៉ៃ​ដូច​ជា ជំងឺបេះដូង ខូច​តម្រងនោម ជំងឺ​សួតរ៉ាំរ៉ៃ​ជាដើម។

លោក​វេជ្ជបណ្ឌិត​ថា ក្រុម​អ្នក​ជំងឺ​ដែល​មាន​ជំងឺ​រ៉ាំរ៉ៃ​ដូច្នេះ​ មិន​អាច​ទ្រាំទ្រ​បាន​នឹង​ការ​ខ្វះ​អុកស៊ីសែន​យូរ​បាន​ទេ ហើយ​អាច​ឈាន​ដល់​ស្លាប់​តែ​ម្តង។ “មកដល់ពេលនេះ (23/3/2021) មានអ្នកជំងឺ​ស្លាប់​ដោយសារកូវីដ ៥នាក់ទៅហើយ ហើយ​អាចនៅ​មាន​បន្តទៀត។ព្រឹត្តិការណ៍​ថ្ងៃ ២០ កុម្ភៈ បិទ​បញ្ចប់​ទៅ​បាន​មិនមែន​អាស្រ័យ​ទៅ​លើ​ក្រុមគ្រូពេទ្យ​តែ​ប៉ុណ្ណោះ​ទេត្រូវ​ចូលរួម​ទាំង​កង​កម្លាំង​ប្រជាពលរដ្ឋ​គ្រប់មជ្ឈដ្ឋាន​ទាំង​អស់”។

 

គណនា BMI

health-tool-icon

ឆ្នាំ

តើលោកអ្នកចង់ដឹង​ពីវិធីព្យាបាលការសម្រកទម្ងន់ដែរ ឬទេ?

តើអ្នកធ្លាប់ដឹងពីវិធីព្យាបាល GIP និង GLP-1 ទេ?

* នេះ​ជា​ការ​ព្យា​បាល​ថ្មីដែល​​មាន​ប្រសិទ្ធ​ភាព​ក្នុង​ការ​ជួយ​សម្រក​ទម្ងន់ និង​ព្យា​បាល​ជំ​ងឺ​ទឹក​នោម​ផ្អែម​ប្រភេទ២។

រក្សា​ការ​តាមដាន និងសម្រក​ទម្ងន់៖ ទទួលបាន​ព័ត៌​មាន​ថ្មី​ពី​គ្រូពេទ្យ​ជំនាញ លើ​ការ​ព្យា​បាល​ការសម្រក​ទម្ងន់ និងការផ្តល់ជំនួយដោយផ្ទាល់​ក្នុង​ប្រអប់​សារ​របស់​អ្នក។

បដិសេធ

Hello Health Group និង “Hello គ្រូពេទ្យ” មិន​ចេញ​វេជ្ជបញ្ជា មិន​ធ្វើ​រោគវិនិច្ឆ័យ ឬ​ព្យាបាល​ជូន​ទេ៕

កំណែ​ប្រែបច្ចុប្បន្ន

23/03/2021

អត្ថបទ​ដោយ ដេត ធន្នី

ត្រួតពិនិត្យដោយ វេជ្ជ. ចាន់ ស៊ីណេត

បច្ចុប្បន្នភាពដោយ៖ ដេត ធន្នី


អត្ថបទពាក់ព័ន្ធ

ថ្នាំ PrEP បង្ការជំងឺអេដស៍ប៉ះពាល់ដល់សុខភាពអត់? ស្ថិតក្នុងលក្ខខណ្ឌបែបណា ទើបមិនគួរចាក់?

គ្រុនឈាមត្រឡប់មកវិញហើយ! ក្រុមមនុស្សទាំងនេះ គួរប្រយ័ត្នឱ្យមែនទែន!


ត្រួតពិនិត្យដោយ

វេជ្ជ. ចាន់ ស៊ីណេត

ឯកទេសសម្ភព និងរោគស្ត្រី · ម​ន្ទីរពេទ្យបង្អែកមិត្តភាពកម្ពុជា-ចិន សែនសុខ


អត្ថបទ​ដោយ ដេត ធន្នី · កែ 23/03/2021

ad iconផ្សព្វផ្សាយពាណិជ្ជកម្ម

តើអត្ថបទនេះមានប្រយោជន៍ដែរទេ?

ad iconផ្សព្វផ្សាយពាណិជ្ជកម្ម
ad iconផ្សព្វផ្សាយពាណិជ្ជកម្ម