ឧស្សាហ៍ឈឺអញ្ចាញធ្មេញ អាចមកពីបញ្ហាសុខភាពទាំងនេះ
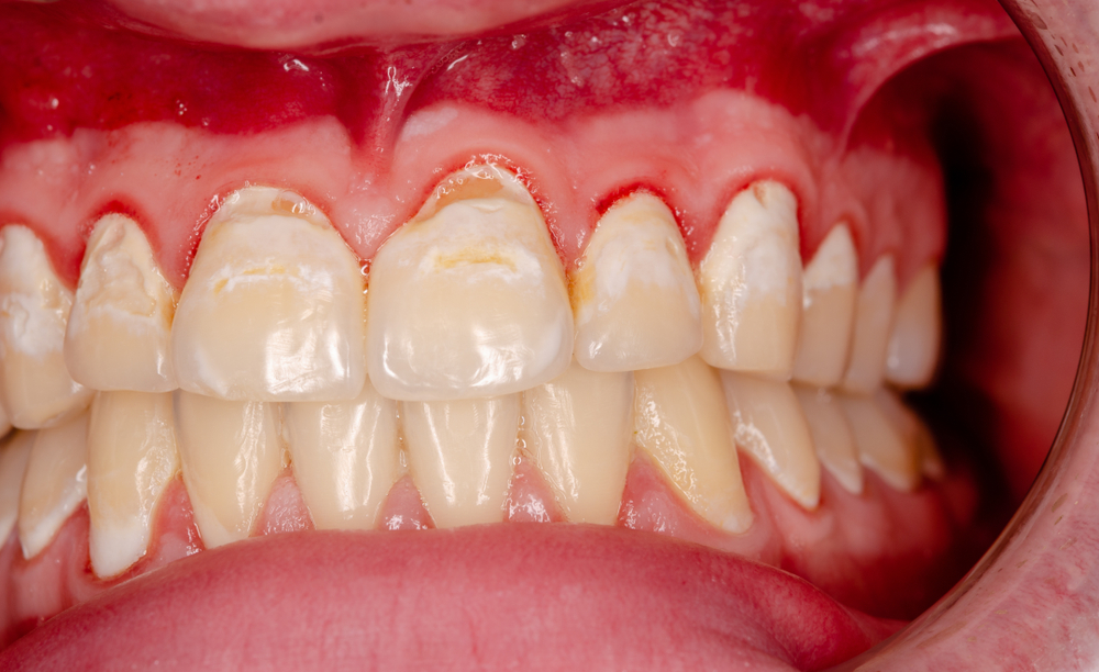
គ្នាយើងដឹងអត់ថា ជំងឺអញ្ចាញធ្មេញអាចបណ្ដាលឲ្យមានបញ្ហាសុខភាពដទៃទៀតជាច្រើន។ អ្នកមានបញ្ហាអញ្ចាញធ្មេញទាំងអស់ មិនសុទ្ធតែមានជំងឺផ្សេងទេ ដូចគ្នាដែរអ្នកដែលមានជំងឺអ្វីផ្សេង ក៏មិនមែនសុទ្ធតែប្រឈមនឹងការឈឺអញ្ចាញធ្មេញដែរ។ ប៉ុន្តែបើយោងតាមការសិក្សាមួយចំនួនបានបង្ហាញថា ជំងឺទាំងមួយចំនួនមានទំនាក់ទំនងនឹងបញ្ហាអញ្ចាញធ្មេញ។ ១. ជំងឺបេះដូង ការស្រាវជ្រាវចេញផ្សាយនៅក្នុងទស្សនាវដ្ដី BMJ Open បានរកឃើញថា អ្នកដែលមានជំងឺអញ្ចាញធ្មេញមានហានិភ័យខ្ពស់នៃបញ្ហាបេះដូង រួមទាំងជំងឺខ្សោយបេះដូង គ្រោះថ្នាក់សរសៃឈាមខួរក្បាល និងជំងឺវង្វេងទាក់ទងនឹងកង្វះលំហូរឈាមទៅខួរក្បាល ពីព្រោះវាអាចនាំឲ្យរលាកប្រព័ន្ធសរសៃឈាមបេះដូង ប្រសិនបើបន្តរយៈពេលយូរ។ ជាក់ស្ដែង បាក់តេរី អាចជាមូលហេតុនៃទំនាក់ទំនងរវាងជំងឺបេះដូង និងជំងឺអញ្ចាញធ្មេញ។ យ៉ាងណាមិញ អ្នកស្រាវជ្រាវថា ត្រូវការការស្រាវជ្រាវបន្ថែម ដើម្បីយល់ដឹងកាន់តែច្បាស់ពីទំនាក់ទំនងនេះ។ ចង់គណនា BMR ចុចទីនេះ! ចង់ពិនិត្យជំងឺមហារីកសុដន់ ចុចទីនេះ! ២. ជំងឺទឹកនោមផ្អែម គ្នាយើងមួយចំនួនតែងតែគិតថា ជំងឺទឹកនោមផ្អែមអាចនាំឲ្យមានការវិវត្តទៅជាជំងឺអញ្ចាញធ្មេញ។ ផ្ទុយទៅវិញ បើយើងប្រៀបធៀបជាមួយនឹងអ្នកដែលមិនមានជំងឺអញ្ចាញធ្មេញ យើងឃើញថាអ្នកមានជំងឺអញ្ចាញធ្មេញងាយប្រឈមនឹងជំងឺទឹកនោមផ្អែមប្រភេទ២ ច្រើនជាង នៅថ្ងៃអនាគត។ ៣. លិង្គមិនឡើងរឹង ទន្ទឹមនឹងនេះដែរ បញ្ហាលិង្គមិនឡើងរឹងអាចប៉ះពាល់ដល់បុរសដែលមានអាយុលើសពី ៤០ឆ្នាំ។ បញ្ហាស្មុគស្មាញមួយនេះ អាចបណ្ដាលមកពីកត្តាផ្លូវចិត្ត និងផ្លូវកាយ តួយ៉ាងដូចជាការជក់បារី ការញ៉ាំគ្រឿងស្រវឹង ក៏ដូចជាការលើសសម្ពាធឈាម។ បន្ថែមពីនេះ ជំងឺអញ្ចាញធ្មេញក៏ជាកត្តាចម្បងដែលបង្កើនហានិភ័យនៃបញ្ហាលិង្គមិនឡើងរឹងដូចគ្នា។ [embed-health-tool-heart-rate] ៤. ការធ្លាក់ចុះការយល់ដឹង ការសិក្សាមួយចំនួន បានរកឃើញថាជំងឺអញ្ចាញធ្មេញ ការបាក់ធ្មេញ និងមុខងារនៃការយល់ដឹងមានទំនាក់ទំនងគ្នា។ ជាទូទៅ ជំងឺអញ្ចាញធ្មេញ គឺមានការទាក់ទងនឹងការកើនឡើងនៃការផ្ទុកជំងឺបេតាអាមីឡូអ៊ីតនៅក្នុងខួរក្បាល ដែលជាហេតុនាំឲ្យមានជំងឺAlzheimer's […]





























