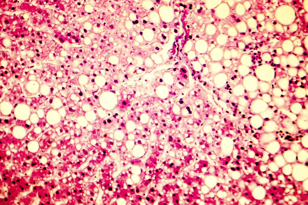
ជំងឺខ្លាញ់រុំថ្លើមជាការច្រាល់ ឬលើសកម្រិតជាតិខ្លាញ់ក្នុងកោសិកាថ្លើមខុសធម្មតា ធ្វើឲ្យថ្លើមរីកធំ ហើយគេបែងចែកជំងឺខ្លាញ់រុំថ្លើមជាច្រើនប្រភេទ។ ជំងឺខ្លាញ់រុំថ្លើមបណ្តាលមកពីអី? អ្នកណាខ្លះប្រឈមខ្លាំងនឹងជំងឺខ្លាញ់រុំថ្លើម?
លោកវេជ្ជបណ្ឌិត ចាន់ ស៊ីណេត ឯកទេសជំងឺទូទៅបានឲ្យដឹងថា ជំងឺខ្លាញ់រុំថ្លើមបណ្តាលមកពីការញ៉ាំអាហារមានជាតិខ្លាញ់ច្រើន មកពីការញ៉ាំស្រាលើសកម្រិតរយៈពេលយូរ ហើយអ្នកជំងឺទឹកនោម អ្នកជាត់ជ្រុល លើសជាតិខ្លាញ់ ក៏ប្រឈមខ្ពស់នឹងហានិភ័យជំងឺខ្លាញ់រុំថ្លើម។ ម្យ៉ាងវិញទៀត ការប្រើប្រាស់ថ្នាំប្រឆាំងនឹងការរលាកមួយចំនួន ក៏អាចប្រឈមនឹងជំងឺខ្លាញ់រុំថ្លើមដែរ ហើយវ័យដែលកើតមានជំងឺមួយនេះ ភាគច្រើនចាប់ពី ៤០-៥០ ឆ្នាំឡើងទៅ ករណីព្យាបាលមិនទាន់ពេល អ្នកជំងឺប្រឈមនឹងជំងឺរលាកថ្លើមរ៉ាំរ៉ៃ ក្រិនថ្លើម កើតទាចទឹក និងមហារីកថ្លើម។
ចំពោះរោគសញ្ញាជំងឺខ្លាញ់រុំថ្លើម ភាគច្រើនអ្នកជំងឺពុំមានរោគសញ្ញាអ្វីទេ ទាល់តែធ្វើរោគវិច្ឆ័យ តែករណីខ្លះអាចមានអាការៈអស់កម្លាំង ក្អួតចង្អោរ ឈឺចាប់នៅកណ្ដាលពោះ ឬឆ្អឹងជំនីរផ្នែកខាងស្កាំ។
លោកវេជ្ជបណ្ឌិតបានផ្តល់ដំបូន្មានថា ដើម្បីចៀសវាង ឬបើយើងកំពុងតែមានត្រូវកាត់បន្ថយពីជំងឺមួយនេះ យើងគួរតែកុំញ៉ាំអាហារមានជាតិខ្លាញ់ច្រើនពេក ហាត់ប្រាណឲ្យបានច្រើនតាមដែលអាចធ្វើទៅបាន កុំឲ្យមានជំងឺទឹកនោមផ្អែម កុំបណ្ដោយឲ្យធាត់ ឬឡើងគីឡូជ្រុល។
